Lower Limb Surgery
As part of his general lower limb orthopaedic practice Mr Weitzel undertakes various lower limb surgical procedures including hip and knee replacement surgery and surgery for fractures and sports injuries.
Hip & knee replacement
Mr Weitzel uses modern design implants that are in widespread use and have well proven excellent 10 year-survival rates of well over 95%. Patient satisfaction with the outcome has been very high and the complication rates are low. A 10-year review of Mr Weitzel’s practice showed that deep infection is extremely rare (<0.2% in knee and none in hip replacement), and there were no postoperative deaths.
Further evidence for the safety of Mr Weitzel’s joint replacement practice can be found in a recent summary of his record produced by the National Joint Register and can be viewed here.
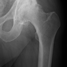
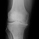
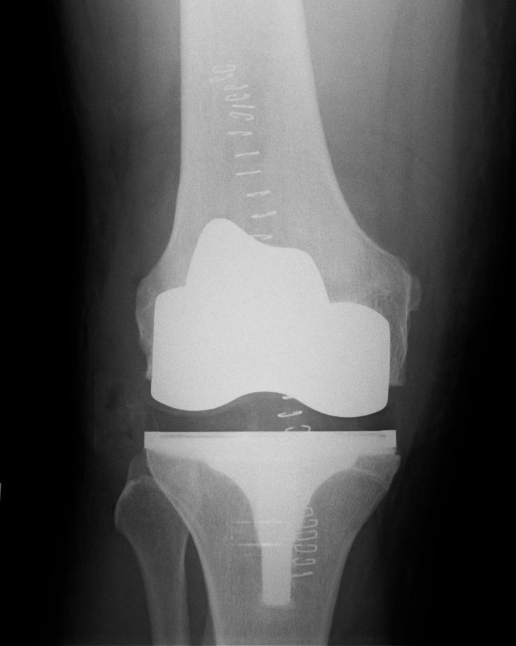
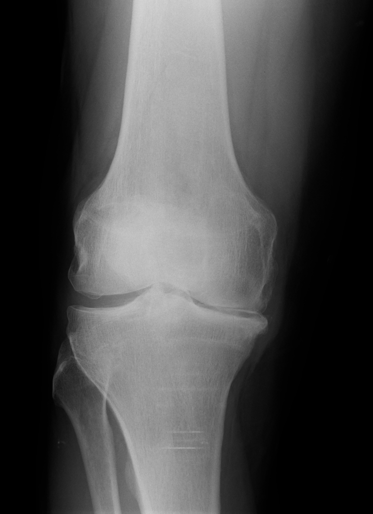
Below you see X-ray examples of patients with severe osteoarthritis of the hip before (Fig 1) and after (Fig 2) total hip replacement, and of the knee before (Fig 3) and after (Fig 4) total knee replacement that have been successfully treated under Mr Weitzel’s care.
Lower limb surgery related imagery
Click on image to enlarge.
Fracture & soft tissue trauma surgery
Mr Weitzel is an experienced trauma surgeon who is able to assess patients after any injury and advise on the best way to manage the injury sustained. He accepts self-referrals from patients directly or after they have been assessed in a NHS A&E department or Urgent Care Centre in the UK or abroad.
He is able to treat patients to accepted high clinical standards or advises suitable onward referral to other selected specialists who are all experts in their fields.
Mr Weitzel can provide speedy independent clinical assessment and advice when access to a local NHS trauma service is delayed and senior clinical input is required and can put many patients at ease at a time of great concern & anxiety.
Appointments to see Mr Weitzel can be made within a day by calling 020 3291 4143 (Mon-Fri 8.30-17.30) or leave a message out-of-hours. Urgent assessment can be arranged by calling the switchboard of The Sloane, Shirley Oaks and The Blackheath BMI Hospital via the duty ward sister.





