Ankle & hind foot arthritis
What are the causes and symptoms?
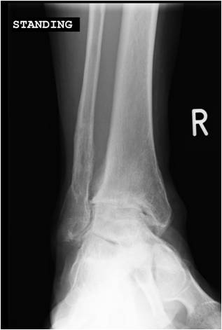
Degenerative arthritis of the ankle joint (Fig 1) normally develops as a result of a traumatic injury, but can also present from inflammatory joint disease such as rheumatoid arthritis and other rare conditions. Common symptoms are pain, swelling and stiffness interfering with walking and other activities.
What is the treatment?
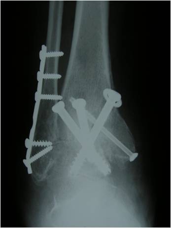
When conservative (non-operative) measures such as activity modification, painkillers and orthotic supports are no longer adequate, surgery may become necessary. Ankle or other hind foot joint stiffening operation (fusion or arthrodesis, Fig 2) has been the surgery of choice and can be performed both as an open and as a keyhole procedure. The trade-off is pain reduction for increased stiffness but other than in the knee or hip joint fusion is relatively well tolerated and the functional results are surprisingly good. More recently results from modern ankle replacing prostheses (Fig 3) have been improving, offering this as a suitable alternative for selected patients.
What is the postoperative recovery and outcome?
Any of these joint-removing operations require a prolonged period of time in cast (6 weeks) usually completely off-loading with crutches. Some further prolonged splintage in a boot is required for usually around a total of 3 months. The exception is ankle replacement patients who can fully bear weight in a cast and removable splint for 6-8 weeks. Overall the recovery takes between 3-6 months until return to most activities. Unless the bone fails to heal (risk of non-union approximately 10%) the functional outcome and pain relief are very satisfactory.
Ankle & hind foot arthritis related imagery
Click on image to enlarge




