Ankle pain & instability
What is the cause and early treatment?
Twisting injuries (sprains) of the ankle are very common affecting most people in their lifetime. These lead to partial tearing usually of the outside ligaments of the ankle and cause pain, swelling (Fig 1) and difficulty in walking for a few days to weeks depending on the severity of the injury. The majority of cases settle down over 2-6 weeks with a period of rest, icing and splintage. Sometimes pain and giving way continues beyond 2-3 months. These symptoms can often be improved with specialist physiotherapy and ankle supports, but occasionally problems interfering with the return to normal activities including sports remain.
What causes ongoing ankle pain after sprains?
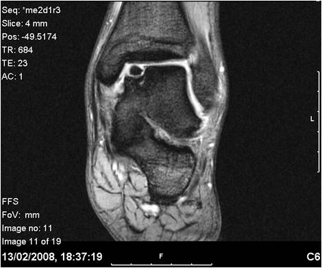
This can be explained by persistent soft tissue inflammation (impingement) or unrecognised injuries to tendons or the ankle joint surfaces, which may require further investigations with modern imaging techniques such as ultrasound and magnetic resonance scanning (MRI, Fig 2).
What can surgery offer?
Keyhole(arthroscopic) surgery (Fig 3) may be helpful to remove scar or inflamed tissue (synovitis), spurs and loose bodies and deal with localized damage to the ankle joint surface. Such cartilage reconstructive techniques include drilling of cartilage supporting bone (micro-fracture) or cartilage grafting from elsewhere in the ankle or the knee.
Ligament repair procedures are useful to restore ligamentous strength, improve stability and reduce giving way.
How quick is the recovery?
Keyhole surgery (arthroscopy) is done as a day case procedure and only requires short splintage for up to 1-2 weeks depending on the exact procedure carried out. Return to sedentary jobs can be as early as after 1-2 weeks, more physically demanding activities including sports may have to be modified or stopped for 3-4 weeks.
More extensive procedures, particularly those restoring cartilage and ligaments, often require 4-6 weeks of cast or boot splintage and an element of off-loading with crutches. Here the recovery is much longer and the above times may have to be at least doubled.
Ankle pain & instability related imagery
Click on image to enlarge




