Big Toe Arthritis / Hallux Rigidus
What is Big Toe Arthritis and how is it diagnosed?
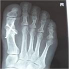
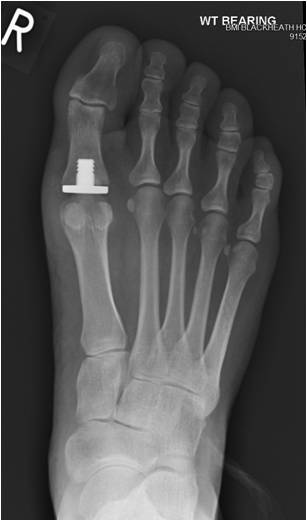
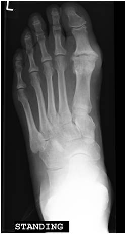
Big toe arthritis presents with pain and stiffness arising from the big toe joint (first metatarso-phalangeal joint) and is often associated with a bump (bone spur) felt on top of the joint (Fig 1). It is usually caused by wear and tear of the joint (arthrosis). This can occasionally be triggered by an injury but usually comes on over several years. The symptoms interfere with activities and can be made worse by a shoe with a tight toe box. Clinical examination and x-rays (Fig 2) confirm the diagnosis.
How is Big Toe Arthritis treated?
Initial non-surgical management includes modification of activity and foot wear. Rigid or rocker soled shoes can reduce the pain. Anti-inflammatory medication and injection of cortisone into the joint can occasionally be helpful.
Should symptoms persist surgery becomes an option. The type of surgery depends on the severity of the arthritis. In less severe cases the trimming of the bone spurs (cheilectomy) can improve the symptoms adequatly.
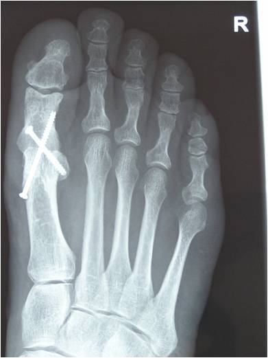
If the disease is more advanced either a joint fusion (arthrodesis)(Fig 3) or a joint replacement (Fig 4) can be considered. The former leaves the joint stiff but pain free, whereas the latter involves implanting an artificial joint which allows some joint movements whilst reducing or eliminating pain.
What does Big Toe Arthritis surgery involve?
Cheilectomy which is the removel of the bone spur, is done as day surgery. Full weight-bearing is allowed soon after surgery. A protective shoe is provided and will have to be worn for 2-4 weeks. After a few days the bandage is reduced by the patient and toe movement exercises are started.
Arthrodesis or the fusion of the big toe joint is also done as day surgery. This operation involves the removal of the joint surfaces of the affected big toe followed by fixing the bones with metal work and requires 6 weeks protection in a weight-bearing heel-wedge postop shoe or occasionally a cast.
Big toe joint replacement surgery takes a similar amount of time to recover from, weight-bearing in a protective shoe is required for 4-6 weeks and toe exercises are started early.
What is the outcome of big toe arthritis surgery?
Cheilectomy has a good success rate in the region of 90% or more. Long-term recurrence of symptoms is uncommon and usually no further surgery is required.
Both, joint fusion and joint replacement lead to a satisfactory functional result with perhaps replacement being somewhat more unpredictable in its outcome. Future revision to a fusion may be required but this seems to be uncommon.
Big Toe Arthritis / Hallux Rigidus related imagery
Click image to enlarge.





